Presentamos el caso de una niña de 7 años y 19,3 kg de peso con diagnóstico de síndrome de Shone. Fue intervenida en el periodo neonatal para cierre de comunicación interventricular y ampliación del arco aórtico, a los 20 meses de edad para resección de membrana subaórtica y plastia mitral, y a los 2 años de edad para cirugía de Konno-Rastan (aortoventriculoplastia anterior con implante de prótesis valvular aórtica ATS Open Pivot de 16 mm [ATS Medical, Inc., Estados Unidos]).
En el seguimiento se observó una fuga periprotésica que progresó hasta hacerse significativa con una vena contracta de 4 mm, dilatación del ventrículo izquierdo y robo pandiastólico en la aorta torácica, por lo que se decidió programar el cierre percutáneo de la fuga.
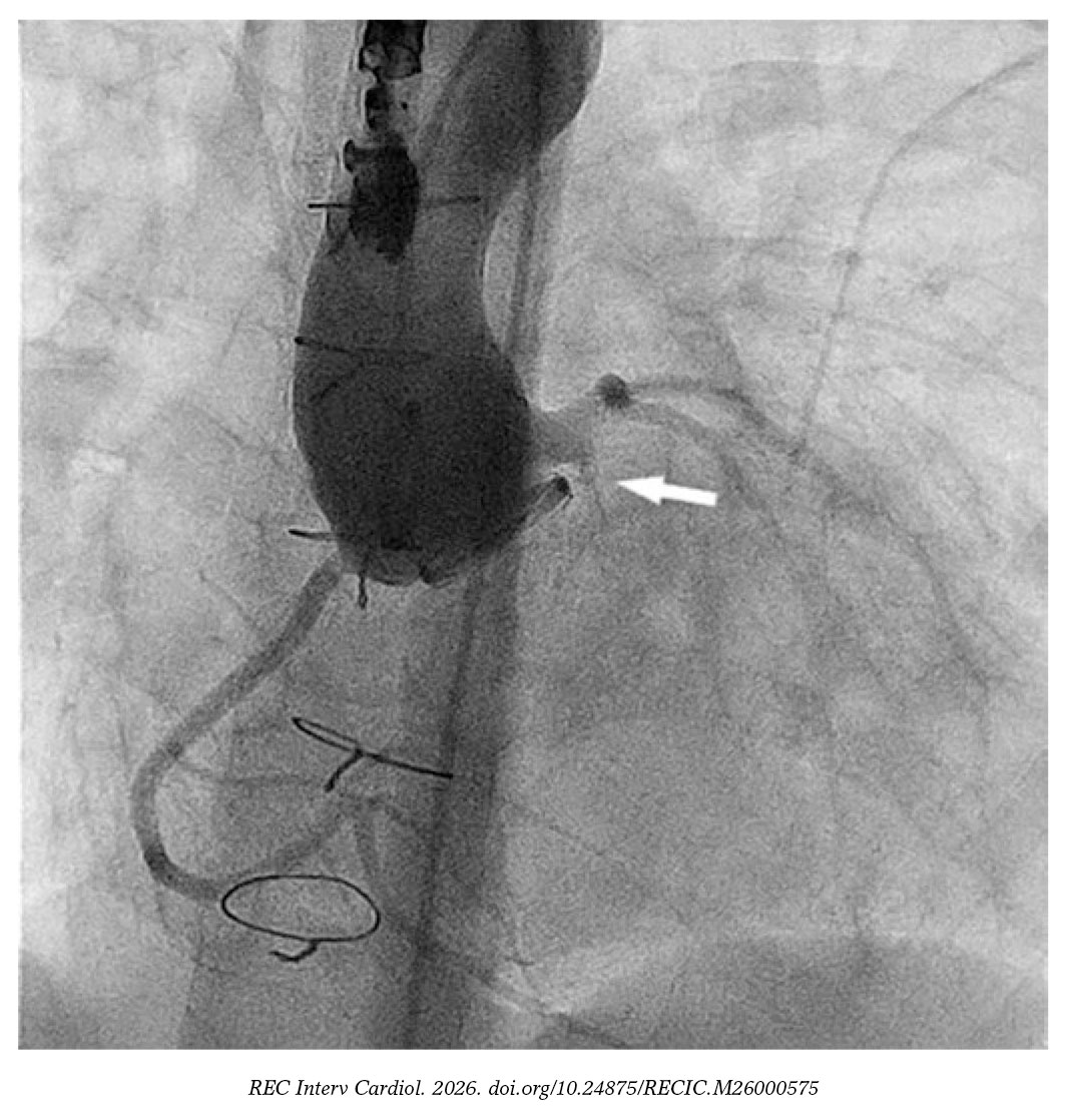
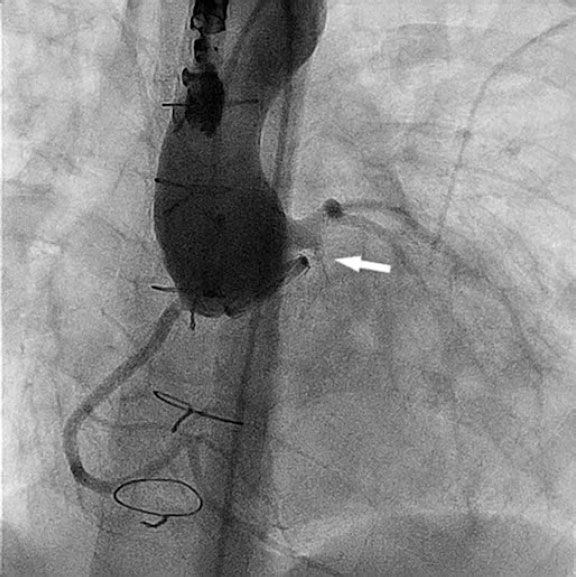
En la aortografía inicial no se detectó la fuga periprotésica, pero sí una dilatación del tronco coronario izquierdo de 6,5 mm y una fístula de este al ventrículo izquierdo de 2,4 mm de diámetro y 4,5 mm de longitud (figura 1 y vídeo S1).
Figura 1.
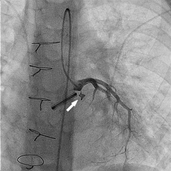
Se sondó la fístula con un catéter NIH 4F modificado (Cordis, Estados Unidos) y una guía hidrófila de 0,035 pulgadas sobre la que se avanzó un catéter de liberación de 4Fr para implantar un dispositivo Nit-Occlud PDA 4 × 4 mm (PFM Medical, Alemania) (figura 2 y vídeo S2). Se eligió este dispositivo en lugar de oclusores de malla de nitinol porque se consideró que la longitud de estos últimos era excesiva y que sus discos de retención podían interferir con la coronaria.
Figura 2.
Las fístulas coronarias posquirúrgicas pueden simular fugas periprotésicas. Se recomienda su oclusión para evitar la sobrecarga de volumen, la dilatación coronaria y el consecuente riesgo isquémico.
FINANCIACIÓN
Ninguna.
CONSIDERACIONES ÉTICAS
Al tratarse de un caso clínico de un único paciente, no hemos precisado la aprobación del comité ético. Se obtuvo el consentimiento informado de los padres de la paciente. No se han tenido en cuenta las directrices SAGER en la elaboración de este caso.
DECLARACIÓN SOBRE EL USO DE INTELIGENCIA ARTIFICIAL
No se ha hecho uso de inteligencia artificial para la elaboración de este trabajo.
CONTRIBUCIÓN DE LOS AUTORES
Todas las personas firmantes han participado directamente en la redacción de este artículo y han leído y aprobado la versión final.
CONFLICTO DE INTERESES
Ninguno.
Vídeo 1. Santos Lorente C. DOI: 10.24875/RECIC.M26000575
Vídeo 2. Santos Lorente C. DOI: 10.24875/RECIC.M26000575
