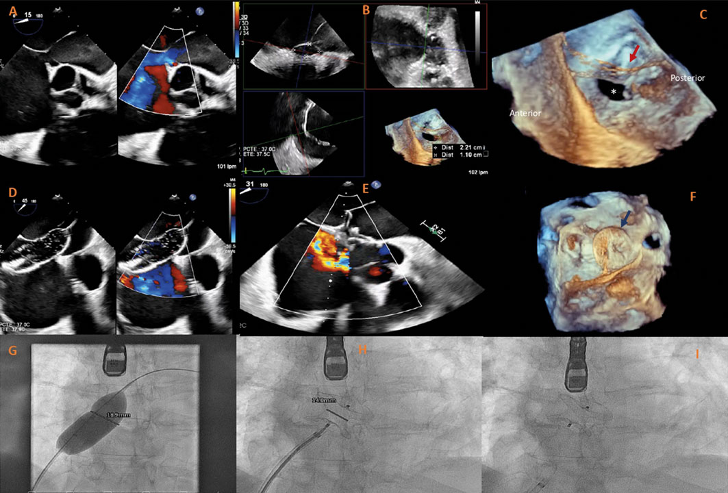
Varón de 67 años con signos de insuficiencia cardiaca derecha secundaria a comunicación interauricular (CIA) con dilatación ventricular derecha, shunt izquierda-derecha significativo (Qp/Qs 1,5) y sin hipertensión pulmonar precapilar significativa (presión arterial pulmonar media, 26 mmHg; resistencia vascular pulmonar, 2 UW). La ecocardiografía transesofágica tridimensional (ETE 3D) reveló la presencia de un cor triatriatum sinister (CTS) con una membrana que se extendía desde el extremo superior y posterior de la fosa oval hasta la cresta pulmonar, con múltiples fenestraciones, la mayor de 24 mm (figura 1A). Se confirmó la presencia de una CIA tipo ostium secundum de 22 × 11 mm, con el borde posterior parcialmente recubierto por la membrana (figura 1B-C). Como el paciente era técnicamente apto y presentaba un riesgo quirúrgico elevado en un contexto de cirrosis, se optó por un abordaje percutáneo. La intervención se realizó bajo guiado simultáneo por ETE 3D y fluoroscopia, la CIA se cruzó con una guía de 0,035 pulgadas y un catéter multipropósito, la medición con balón confirmó la presencia de un defecto de 20 mm y, por último, se implantó con éxito un oclusor septal Amplatzer de 24 mm (Abbott Structural Heart, Estados Unidos) (figura 1D-F). La ETE confirmó la correcta posición del dispositivo, sin shunt residual ni obstrucción del flujo en la aurícula izquierda. Se obtuvo el consentimiento informado del paciente.
Figura 1.
El CTS es una malformación cardiaca poco frecuente que puede coexistir con la CIA tipo ostium secundum en hasta el 33% de los pacientes. Aunque el cierre percutáneo es el método de elección en anatomías favorables, la presencia de CTS puede complicar el despliegue del dispositivo por la definición inadecuada de los márgenes, con el consiguiente mayor riesgo de inestabilidad y embolización del dispositivo. En este caso, el cierre de la CIA fue especialmente complejo, ya que el borde posterior estaba en continuidad directa con la membrana auricular, lo cual planteaba dudas sobre la adecuada aposición del dispositivo. El presente caso pone de manifiesto lo importantes que son las técnicas de imagen avanzada como la ETE 3D en anatomías complejas, ya que permiten una planificación precisa de la intervención y un guiado en tiempo real para garantizar el éxito de la intervención.
FINANCIACIÓN
Ninguna.
CONSIDERACIONES ÉTICAS
El paciente dio su consentimiento informado por escrito previo a la intervención y a los efectos de publicación del presente caso clínico, incluidas todas las imágenes asociadas. Se siguieron las recomendaciones de las guías SAGER sobre la posible existencia de sesgos por sexo o género.
DECLARACIÓN SOBRE EL USO DE INTELIGENCIA ARTIFICIAL
Se empleó inteligencia artificial, incluidos modelos de lenguaje como ChatGPT (OpenAI), únicamente como apoyo en la edición lingüística del manuscrito. El contenido científico, el análisis y la interpretación fueron elaborados íntegramente por los autores.
CONTRIBUCIÓN DE LOS AUTORES
A. Abrantes fue responsable de la concepción del estudio, la revisión bibliográfica, la redacción del manuscrito, el procesado de las imágenes y la preparación de las figuras. E. Colón colaboró en la revisión del manuscrito, el procesado de las imágenes y la preparación de las figuras. E. Pozo Osinalde realizó la ecocardiografía transesofágica, obtuvo las imágenes ecocardiográficas y contribuyó tanto a la revisión del manuscrito como a la preparación de las figuras. D. García-Arribas llevó a cabo tanto el seguimiento clínico del paciente como la revisión del manuscrito. L. Nombela-Franco y P. Salinas realizaron el procedimiento intervencionista y colaboraron en la revisión del manuscrito. Todos los autores revisaron y dieron su aprobación a la versión definitiva.
CONFLICTO DE INTERESES
Ninguno.
