RESUMEN
Introducción y objetivos: El tratamiento percutáneo de la insuficiencia tricuspídea (IT) ha supuesto una revolución en el abordaje de estos pacientes en los últimos años. El sistema EVOQUE (Edwards Lifesciences, EE.UU.), que obtuvo el marcado CE 2023, es una prótesis tricúspide percutánea diseñada para tratar casos de IT grave que no son reparables mediante otras técnicas percutáneas. Este trabajo presenta la experiencia inicial en nuestro centro con el implante de prótesis EVOQUE en 10 pacientes con IT sintomática. Nuestro objetivo fue analizar el seguimiento inicial a 30 días, clínico y por imagen.
Métodos: Estudio observacional prospectivo unicéntrico. Se incluyeron 10 pacientes seleccionados con IT grave a los que se implantó una prótesis EVOQUE. La evolución clínica inicial se evaluó mediante parámetros clínicos y ecocardiográficos a los 30 días. Se valoraron la reducción de la IT, la función ventricular derecha y las posibles complicaciones posoperatorias.
Resultados: Se incluyeron 10 pacientes con IT grave sintomática. La mediana de seguimiento fue de 80 días y la edad media de los pacientes fue de 77,2 años; TRISCORE medio 4,6; EuroSCORE II medio 3,9%. Un 40% de los pacientes eran portadores de marcapasos. El éxito del procedimiento fue del 100% según los criterios del Tricuspid Valve Academic Research Consortium. Se produjo una reducción marcada de la IT en todos los casos, quedando IT leve o mínima tras el procedimiento. El gradiente transprotésico medio fue de 2,5 mmHg. Como complicaciones destacaron 1 caso de insuficiencia mitral grave posimplante, 1 bloqueo auriculoventricular completo, 2 fallos ventriculares derechos transitorios y 2 trombosis de prótesis. La mediana de estancia hospitalaria fue de 7 días.
Conclusiones: El implante de prótesis tricúspide EVOQUE ofrece resultados iniciales prometedores, con una reducción prácticamente completa de la IT y pocas complicaciones. Son necesarios más estudios para confirmar la seguridad y eficacia del dispositivo en la práctica clínica.
Palabras clave: Insuficiencia tricuspídea. Prótesis EVOQUE. Implante percutáneo. Fallo ventricular derecho. Bloqueo auriculoventricular. Trombosis de prótesis
ABSTRACT
Introduction and objectives: Transcatheter treatment for tricuspid regurgitation (TR) has grown exponentially in recent years. The Edwards EVOQUE system (Edwards Lifesciences, United States), which obtained CE marking in 2023, is a transcatheter tricuspid valve designed to address severe cases of TR that are not amenable to repair using other transcatheter techniques. This study presents the initial experience at our center with the implantation of the EVOQUE tricuspid valve in 10 patients with symptomatic TR. Our objective was to analyze the initial clinical and 30-day imaging follow-up.
Methods: We conducted a prospective, single-center observational study. A total of 10 patients with severe TR who underwent EVOQUE tricuspid valve implantation were included. The 30-day early outcomes were evaluated using clinical parameters and echocardiographic findings. We assessed the reduction of TR, right ventricular function, and potential postoperative complications.
Results: Ten patients with symptomatic severe TR were included. The median follow-up was 80 days, and the patients’ mean age, 77.2 years. The mean TRISCORE was 4.6, and the mean EuroSCORE II, 3.9%. Pacemaker dependance was observed in 40% of patients. The rate of procedural success was 100% according to the Tricuspid Valve Academic Research Consortium criteria. The maximum transprosthetic gradient was 4.8 mmHg. Significant complications included 1 case of severe mitral regurgitation following implantation, 1 complete atrioventricular block, 2 transient right ventricular failures, and 2 prosthetic valve thromboses. The median length of stay was 7 days.
Conclusions: The early outcomes of the EVOQUE tricuspid valve implantation are promising, with significant TR reduction and few complications. Further studies are needed to confirm the safety and efficacy profile of the device in the routine clinical practice.
Keywords: Tricuspid regurgitation. EVOQUE tricuspid valve. Transcatheter implantation. Right ventricular failure. Atrioventricular block. Prosthetic valve thrombosis
Abreviaturas
BAV: bloqueo auriculoventricular. IT: insuficiencia tricuspídea. TC: tomografía computarizada.
INTRODUCCIÓN
La insuficiencia tricuspídea (IT) grave se asocia con mal pronóstico1. El momento óptimo para la intervención aislada en la válvula tricúspide continúa siendo una incógnita, pero en las fases tardías de la evolución natural de la enfermedad los pacientes ya presentan signos de insuficiencia cardiaca derecha y responden peor al tratamiento diurético2. En estas fases avanzadas, es posible que cualquier intervención sea fútil.
El tratamiento inicial son los fármacos diuréticos y la cirugía se reserva solo para casos seleccionados. Además, los resultados quirúrgicos son modestos, siendo elevada la mortalidad en intervenciones aisladas de la válvula tricúspide3. En este contexto, las guías de la Sociedad Europea de Cardiología sobre enfermedades valvulares cardiacas sugieren un posible papel de las intervenciones percutáneas para el tratamiento de la IT en pacientes seleccionados4.
En los últimos años se ha vivido un crecimiento exponencial de los tratamientos percutáneos para la IT. Las técnicas de reparación tricúspide más extendidas son la reparación percutánea de borde a borde y la anuloplastia5,6. En pacientes con anatomías tricúspides complejas y en aquellos en etapas más avanzadas de la enfermedad, caracterizadas por un anillo tricúspide muy dilatado y amplios espacios de coaptación, la reparación de borde a borde y la anuloplastia ofrecen resultados subóptimos7. La alternativa para estos pacientes podría ser el reemplazo percutáneo ortotópico de la válvula tricúspide.
El sistema de sustitución percutánea de la válvula tricúspide EVOQUE (Edwards Lifesciences, EE.UU.) obtuvo el marcado CE en 2023. Recientemente se ha publicado el primer implante de prótesis tricúspide EVOQUE en España8.
Se presenta la primera serie española de pacientes con IT grave sintomática tratados mediante implante percutáneo de prótesis EVOQUE en posición tricúspide. El objetivo es comunicar nuestra experiencia inicial en términos de reducción de la IT, seguimiento a corto plazo y complicaciones posoperatorias, así como aportar evidencia científica sobre esta tecnología innovadora.
MÉTODOS
Estudio observacional unicéntrico prospectivo en el que se incluyeron 10 pacientes consecutivos a los que se implantó una prótesis EVOQUE como tratamiento para la IT sintomática. Se evaluaron los parámetros ecocardiográficos y la evolución clínica a 30 días. Se realizaron ecocardiografía transtorácica previa al alta y tomografía computarizada (TC) de control al mes del procedimiento.
Los pacientes presentaban IT al menos grave, cuantificada según la clasificación de Hahn y Zamorano7 en: 0, ausente o mínima; 1, leve; 2, moderada; 3, grave; 4, masiva; y 5, torrencial. Todos los pacientes mostraban signos o síntomas de IT, o habían sido hospitalizados por insuficiencia cardiaca, a pesar del tratamiento médico. Además, todos eran candidatos para el reemplazo valvular con el sistema EVOQUE. La indicación de la intervención la estableció el equipo multidisciplinario, de acuerdo con las guías de valvulopatías de la Sociedad Europea de Cardiología4.
Se excluyeron los pacientes con función sistólica ventricular derecha gravemente deprimida, aquellos con anatomía que impedía la correcta colocación del dispositivo y los que tenían una expectativa de vida inferior a 12 meses. Se analizaron las imágenes de TC como parte del cribado por parte de los operadores y del equipo de Edwards EVOQUE.
Análisis previo al procedimiento
Se realizó TC previa al procedimiento para valorar la factibilidad del implante de la prótesis. La tasa de rechazo de los pacientes para el tratamiento fue del 17%.
La prótesis EVOQUE
Es una válvula de pericardio bovino trivalva, autoexpandible y de nitinol, con un sistema de anclaje que se puede extender entre las cuerdas tendinosas del aparato subvalvular para capturar el borde libre de las valvas tricuspídeas nativas (septal, anterior y posterior), y una falda intraanular. El sistema liberador tiene un diámetro externo de 28 Fr y está diseñado para un abordaje venoso transfemoral. El sistema de liberación incluye un mando de flexión primaria, un mando de flexión secundaria y un mando de profundidad para facilitar la alineación y el posicionamiento de la prótesis dentro de la válvula nativa. Hay 3 tamaños disponibles, con diámetros externos de 44, 48, 52 y 56 mm9.
El procedimiento de implante
La intervención se monitoriza con fluoroscopia y ecocardiografía transesofágica intraoperatoria, basándose en gran medida en imágenes tridimensionales en vivo, para garantizar la posición y la trayectoria correctas de la válvula. Se coloca una guía de soporte preformada (tipo Safari, Boston Scientific, EE.UU.) dentro de una vaina deflectable (9-14 Fr) en el ventrículo derecho, a través del anillo tricúspide. El dispositivo se avanza por el catéter de liberación y se coloca a través del anillo tricúspide, donde se posiciona desde el lado ventricular, con los anclajes debajo de las valvas tricúspides y encima de los músculos papilares. En este punto, el sistema de liberación todavía es recapturable, por lo que se realiza una evaluación exhaustiva de la anatomía y la posición. Durante el despliegue del dispositivo se identifican los 9 anclajes, se asegura que las valvas estén por encima de ellos en la sístole y que las cabezas de los músculos papilares estén por debajo.
A continuación, se produce la «captura» de las valvas, que se monitoriza por ecocardiografía transesofágica tridimensional, realizando los ajustes de trayectoria y altura necesarios. La retracción continua del sistema resulta en el acortamiento de la porción ventricular del dispositivo. Tras confirmar la captura satisfactoria de las valvas, la porción ventricular del dispositivo se expande por completo y la porción auricular de la válvula se libera del sistema. Los cambios mínimos en la posición del dispositivo al liberarlo se pueden deber a un acortamiento adicional del dispositivo, la liberación de la tensión y el acoplamiento de los anclajes con el tejido anular. Después de liberar la válvula, con ecocardiografía y fluoroscopia se confirman la estabilidad del dispositivo, las regurgitaciones central y paravalvular residuales, el área del orificio de la válvula, los gradientes diastólicos y la hemodinámica.
En cuanto al régimen antitrombótico, el protocolo estable mantener la anticoagulación que tomaba previamente el paciente (todos los pacientes excepto 1 tenían indicación de anticoagulación crónica), sin antiagregación. En el único paciente sin anticoagulación basal se realizó tratamiento con ácido acetilsalicílico.
Análisis estadístico
El análisis estadístico para estudios descriptivos se llevó a cabo con la prueba t de Student para comparación de medias. Se realizó la prueba de los rangos con signo de Wilcoxon para la comparación de la IT previa al procedimiento y tras el implante de EVOQUE. Se utilizó el programa SPSS versión 22.0.
Aspectos éticos
El protocolo del estudio cumple con los principios de la Declaración de Helsinki y fue autorizado por el Comité de Ética local del hospital.
RESULTADOS
Las características clínicas basales de los pacientes se resumen en la tabla 1. La edad media fue de 77,2 años y el 60% eran mujeres (n = 6). En cuanto a la gravedad de la IT, en un 30% de los casos se catalogó como grave, en un 30% como masiva y en un 40% como torrencial. La puntuación TRISCORE media de los pacientes fue de 4,6, es decir, de bajo a moderado riesgo. Según la clasificación 4A10 (astenia, anorexia, ascitis y edema), la mayoría de los pacientes estaban entre A1 y A3. En cuanto al ritmo basal, un 80% de los pacientes estaban en fibrilación auricular. Un paciente tenía bloqueo de rama derecha previamente, y tras el implante de la prótesis desarrolló bloqueo auriculoventricular (BAV) completo y necesitó implante de marcapasos en el seno coronario. Un 40% de los pacientes eran portadores de marcapasos, lo cual añadía complejidad a los procedimientos. Un 30% de los pacientes habían tenido ingresos previos por clínica de insuficiencia cardiaca derecha. El valor medio del péptido natriurético tipo B de los pacientes fue de 221 pg/ml.
Tabla 1. Características clínicas basales de los pacientes (n = 10)
| Características | |
|---|---|
| Edad, años | 77,7 ± 6,8 |
| Sexo femenino | 6 (60,0%) |
| Hipertensión | 7 (70,0%) |
| Dislipidemia | 2 (20,0%) |
| Diabetes mellitus | 2 (20,0%) |
| Enfermedad arterial periférica | 0 (0,0%) |
| Diálisis | 1 (10,0%) |
| Fibrilación auricular | 8 (80,0%) |
| Infarto de miocardio previo | 2 (20,0%) |
| Cirugía valvular previa | 5 (50,0%) |
| Marcapasos | 4 (40,0%) |
| Bloqueo de rama derecha | 1 (10,0%) |
| Bloqueo de rama izquierda | 0 (0,0%) |
| Puntuación STS (%; mortalidad para reemplazo valvular mitral) | 7,7 ± 5,7 |
| EuroSCORE-II (%) | 3,9 ± 2,3 |
| TRISCORE (puntos) | 4,6 ± 2,2 |
| Clasificación 4A | 1,7 ± 1,2 |
| Hospitalizaciones previas por insuficiencia cardiaca derecha | 3 (30,0%) |
| Exploración física | |
| Clase funcional NYHA II | 9 (90,0%) |
| Clase funcional NYHA III | 1 (10,0%) |
| Edema | 9 (90,0%) |
| Ascitis | 3 (30,0%) |
| Tratamiento | |
| Furosemida | 8 (80,0%) |
| Dosis de furosemida (mg) | 55,0 ± 20,7 |
| Antagonista del receptor de mineralocorticoides | 6 (60,0%) |
| Dosis de antagonista del receptor de mineralocorticoides (mg) | 45,8 ± 29,2 |
| Laboratorio | |
| Creatinina (mg/dl) | 1,6 ± 1,7 |
| TFGe (ml/min/m2) | 52,0 ± 19,5 |
| Hemoglobina (mg/dl) | 13,3 ± 1,7 |
| AST (UI/l) | 29,8 ± 5,5 |
| ALT (UI/l) | 20,5 ± 5,4 |
| GGT (UI/l) | 201,9 ± 159,7 |
| Fosfatasa alcalina (UI/l) | 163,1 ± 84,3 |
| BNP (pg/ml) | 221,0 ± 239,0 |
| Ecocardiograma | |
| Gravedad de la insuficiencia tricuspídea | |
| Grave (grado III) | 3 (30,0%) |
| Masiva (grado IV) | 3 (30,0%) |
| Torrencial (grado V) | 4 (40,0%) |
| Etiología | |
| Funcional, auricular | 4 (40,0%) |
| Funcional, ventricular | 4 (40,0%) |
| Reumática | 1 (10,0%) |
| Prolapso valvular | 1 (10,0%) |
| Fracción de eyección del VD en 3D (%) | 49,0 ± 7,1 |
| Deformación longitudinal del VD | −19,8 ± 6,6 |
| TAPSE (mm) | 19,7 ± 4,4 |
| Área de la vena contracta (cm²) | 9,0 ± 0,9 |
| Área del ORE tricuspídeo en 3D (cm²) | 0,86 ± 0,4 |
| Cateterismo derecho | |
| Presión arterial pulmonar sistólica (mmHg) | 41,7 ± 10,5 |
| Presión arterial pulmonar media (mmHg) | 27,1 ± 6,0 |
| Presión en cuña pulmonar (mmHg) | 18,4 ± 6,0 |
| Presión en aurícula derecha (mmHg) | 17,9 ± 6,7 |
| Presión telediastólica del VD (mmHg) | 13,0 ± 5,8 |
| Resistencia vascular pulmonar (UW) | 2,2 ± 0,7 |
| Datos del procedimiento | |
| Prótesis 44 mm | 2 (20,0%) |
| Prótesis 48 mm | 3 (30,0%) |
| Prótesis 52 mm | 5 (50,0%) |
| IT residual ninguna o trivial | 7 (70,0%) |
| IT residual leve | 3 (30,0%) |
| IT residual al menos moderada | 0 (0,0%) |
| Gradiente protésico después del implante | 2,6 ± 1,1 |
| Tiempo del procedimiento (min) | 130 ± 31,5 |
|
ALT: alanina aminotransferasa; AST: aspartato aminotransferasa; BNP: péptido natriurético tipo B; 3D: tridimensional; GGT: gamma-glutamiltransferasa; IT: insuficiencia tricuspídea; NYHA: New York Heart Association; ORE: orificio regurgitante efectivo; STS: Society of Thoracic Surgeons; TAPSE: desplazamiento sistólico del plano del anillo tricuspídeo; TFGe: tasa de filtración glomerular estimada; VD: ventrículo derecho. Los datos cuantitativos se presentan como media ± desviación estándar, y los cualitativos como n (%). |
|
Se realizó cateterismo derecho para medición basal de presiones en un 70% de los pacientes. Tenían hipertensión pulmonar significativa 5 de los 7 pacientes a los que se realizó (un 71%). En todos los casos con hipertensión pulmonar, esta era poscapilar, con presión capilar pulmonar elevada.
En la ecocardiografía basal, la IT se catalogó como grave, masiva o torrencial en todos los pacientes, en función de los parámetros habituales de gravedad. En cuanto a la determinación de la función ventricular derecha, se observaron las dificultades habituales de estimación y se evaluaron el desplazamiento sistólico del plano del anillo tricuspídeo, el strain del ventrículo derecho y la fracción de eyección por ecocardiograma tridimensional. La información se resume en la tabla 1. No se realizó resonancia magnética cardiaca basalmente.
El procedimiento del implante no requiere punción transeptal, se realiza con anestesia general y es guiado por ecocardiografía transesofágica. La mediana de duración de los procedimientos fue de 129,5 minutos. En la figura 1 se muestran diferentes momentos de la intervención.
Figura 1. Implante de prótesis EVOQUE (Edwards Lifesciences, EE.UU.). A: se pueden valorar cada anclaje y su posición de captura con el velo mediante ecocardiograma tridimensional. B: resultado final, que es óptimo.
El resultado, en términos de reducción de la IT, fue excelente en todos los pacientes, quedando una IT como máximo leve y sin fugas paravalvulares (figura 2). Según los criterios del Tricuspid Valve Academic Research Consortium11, el éxito del procedimiento fue del 100%. El gradiente transprotésico fue de 4,8 mmHg en el peor de los casos, con una media de gradiente transtricuspídeo en los 10 pacientes de 2,5 mmHg.
Figura 2. Reducción prácticamente completa de la insuficiencia tricuspídea (IT) posterior al implante de una prótesis EVOQUE (Edwards Lifesciences, EE.UU.), de forma inmediata y en el seguimiento. Se realizó la prueba de rangos con signo de Wilcoxon para datos apareados (IT basal frente a tras el implante).
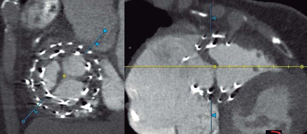
Las complicaciones precoces (30 días) tras la intervención se resumen en la tabla 2. Como complicaciones y datos reseñables, la paciente número 1 presentó insuficiencia mitral funcional grave 5 días después del implante de la válvula EVOQUE en posición tricuspídea (previamente tenía insuficiencia mitral funcional leve-moderada), que se resolvió volviendo a su basal tras la administración de levosimendán y tratamiento diurético intravenoso. El paciente número 3 (con bloqueo de rama derecha previo) desarrolló un BAV completo el tercer día tras el procedimiento, que precisó el implante de un marcapasos monocameral con cable en el seno coronario, sin incidencias. Los pacientes 3 y 4 presentaron fallo del ventrículo derecho transitorio que precisó dobutamina y vigilancia estrecha, en ambos casos resuelto con tratamiento médico en pocos días. La paciente número 8 presentó, en la TC realizada al mes del alta, una trombosis de prótesis que se confirmó con ecocardiografía transesofágica (figura 3); no presentaba dicha complicación en la ecocardiografía previa al alta. En la paciente número 10 también se detectó trombosis de prótesis en la TC de seguimiento al mes del procedimiento, igualmente confirmada por ecocardiografía. En ambos casos, la trombosis cursó de forma asintomática y en la actualidad las pacientes están en tratamiento con heparina no fraccionada.
Tabla 2. Complicaciones precoces y evolución inicial
| Paciente 1 | Paciente 2 | Paciente 3 | Paciente 4 | Paciente 5 | Paciente 6 | Paciente 7 | Paciente 8 | Paciente 9 | Paciente 10 | |
|---|---|---|---|---|---|---|---|---|---|---|
| Complicaciones precoces | Hematuria Insuficiencia mitral grave | Ninguna | Fracaso de ventrículo derecho | Fracaso de ventrículo derecho Bloqueo auriculoventricular completo | Ninguna | Ninguna | Ninguna | Trombosis de prótesis | Ninguna | Ninguna |
| Tratamiento médico al alta | ||||||||||
| Tratamiento antitrombótico | AC | AC | Edoxabán | AC | Ácido acetilsalicílico | AC | Rivaroxabán | Rivaroxabán | AC | AC |
| Furosemida (mg) | 80 | Paciente en hemodiálisis | 80 | 40 | 0 | 160 | 40 | 40 | 40 | 40 |
| Antagonista del receptor de mineralocorticoides (mg) | 25 | Paciente en hemodiálisis | 25 | 0 | 0 | 25 | 25 | 25 | 25 | 50 |
| Estancia hospitalaria (días) | 19 | 3 | 14 | 10 | 5 | 7 | 10 | 3 | 7 | 3 |
|
AC: acenocumarol. |
||||||||||
Figura 3. Trombosis de velo anterior de prótesis EVOQUE (Edwards Lifesciences, EE.UU.).
DISCUSIÓN
La experiencia inicial en España con el implante de la prótesis percutánea tricúspide EVOQUE muestra resultados excelentes en términos de reducción de la IT, muy por encima de los tratamientos percutáneos hasta ahora disponibles para reparación valvular tricúspide. No obstante, es importante contrastar estos datos con los de los ensayos clínicos TRISCEND12 y TRISCEND II13. En el estudio TRISCEND12 se analizaron 176 pacientes con IT al menos moderada tratados con EVOQUE. Se observaron una reducción significativa y sostenida de la IT, un aumento del gasto cardiaco y una mayor supervivencia, con bajas tasas de reingreso y con mejoría clínica y de calidad de vida. Más recientemente se han publicado los resultados del ensayo TRISCEND II13,14, con 392 pacientes aleatorizados para recibir prótesis EVOQUE más tratamiento médico óptimo o solo tratamiento médico óptimo. La reducción de la IT fue notable en todos los casos. En nuestra serie, el resultado en todos los pacientes fue una IT residual leve o menor tras el implante, sin fugas para- valvulares significativas. En la misma línea, el estudio TRISCEND II13 también mostró una reducción significativa y sostenida de la IT, lo que indica que la prótesis EVOQUE es eficaz. En cuanto a las alteraciones de la conducción auriculoventricular causadas por la prótesis, en nuestra serie 1 paciente (10%) con bloqueo de rama derecha previo desarrolló un BAV completo y requirió el implante de un marcapasos monocameral con estimulación en el seno coronario. En el estudio TRISCEND II13, el 17,4% de los pacientes en el grupo de intervención también necesitaron estimulación permanente tras el implante. Este hallazgo destaca la necesidad de una monitorización prolongada, ya que no se han identificado predictores claros de la aparición de BAV. Una paciente de nuestra serie presentó insuficiencia mitral grave tras el implante, resuelta con levosimendán. Este tipo de complicación no fue específicamente comunicada en TRISCEND II, lo que sugiere que podría ser un hallazgo poco frecuente. La insuficiencia mitral es una condición dinámica y dependiente de la situación hemodinámica. La paciente que la presentó tenía insuficiencia mitral moderada previamente al procedimiento. En el estudio TRISCEND13 se excluyeron los pacientes con insuficiencia mitral grave.
Resulta fundamental la valoración exhaustiva de la función del ventrículo derecho antes del implante. En nuestra serie, 2 pacientes (20%) presentaron fallo ventricular derecho transitorio, resuelto con tratamiento médico. En el ensayo TRISCEND II13 no se menciona específicamente el fallo ventricular derecho agudo, excluyendo a los pacientes que tenían fallo grave de ventrículo derecho previo e hipertensión pulmonar grave.
Otro aspecto relevante es el tratamiento antitrombótico tras el implante de la prótesis. En nuestra serie, 1 paciente presentó trombosis de la prótesis EVOQUE en la TC de control al mes del procedimiento; en la ecocardiografía de control previa al alta no se visualizó ningún trombo y el gradiente transprotésico era normal (2 mmHg). Esta paciente fue dada de alta con rivaroxabán 20 mg, que ya tomaba previamente. La otra paciente que presentó trombosis de la prótesis estaba en tratamiento con acenocumarol por ser portadora de una prótesis metálica, con INR (International Normalized Ratio) en rango entre 2,5 y 3,5. En ambos casos, el tratamiento fue anticoagulación con heparina de bajo peso molecular. En el primer caso, en la ecocardiografía transesofágica realizada 1 semana después persistía la trombosis; el segundo caso tiene pendiente la ecocardiografía de control. Es interesante señalar que en el estudio TRISCEND II13 se recomendaba anticoagulación con warfarina (INR 2,5-3,5) u otro anticoagulante, y antiagregación con ácido acetilsalicílico durante 6 meses. En nuestro centro, el protocolo requiere mantener únicamente la anticoagulación que tomaba previamente el paciente (todos ellos tenían indicación de anticoagulación crónica), sin antiagregación. En el único paciente sin anticoagulación basal se realizó tratamiento con ácido acetilsalicílico. Por otro lado, los 2 casos de trombosis de prótesis en nuestro centro se diagnosticaron por TC, que no se realizaba según el protocolo del estudio TRISCEND II13, por lo que no se puede descartar que pasara inadvertida alguna trombosis subclínica. Si esto tiene relevancia en el seguimiento, en términos de una degeneración protésica precoz, es algo que tendrá que estudiarse en el futuro. Se considera que es necesario realizar una TC en estos pacientes con tratamientos percutáneos novedosos para valorar anatómicamente el resultado con mayor exactitud, así como para descartar complicaciones que puedan pasar desapercibidas con otras técnicas de imagen.
La contrapartida del tratamiento antitrombótico es el mayor riesgo de hemorragia. En el estudio TRISCEND II13 se comunicó una tasa de hemorragias mayores del 15,4% en el grupo de intervencionismo; en nuestra serie fue del 10%, pues una única paciente presentó hematuria franca que requirió transfusión, y estaba en tratamiento con acenocumarol sin antiagregación. La tasa de hemorragias mayores fue ligeramente inferior en nuestra serie que en el estudio TRISCEND II13, y sin embargo sí tuvimos un caso de trombosis de prótesis. Se considera que se necesita más evidencia para poder realizar recomendaciones sólidas en cuanto al régimen antitrombótico que optimice el riesgo/beneficio.
En cuanto al resultado hemodinámico tras el implante de la prótesis, fue óptimo en términos de reducción de la IT. El gradiente transprotésico máximo fue de 4,8 mmHg en nuestra serie, en con- cordancia con los valores bajos comunicados en TRISCEND II13, lo que indica una adecuada función hemodinámica de la válvula en ambas cohortes. Esto respalda la capacidad de la prótesis EVOQUE para ofrecer un desempeño valvular eficiente con una baja resistencia al flujo. Cabe destacar que en el caso de trombosis de prótesis diagnosticado por TC el gradiente transtricuspídeo por ecocardiografía era de 2 mmHg, lo cual resalta la utilidad de la TC en el seguimiento inicial de estos pacientes, ya que de otra forma podrían pasar inadvertidas trombosis subclínicas.
En el ensayo TRISCEND II13 se observó una reducción en las tasas de reingreso hospitalario y una mejora en los parámetros clínicos. Aunque en nuestra serie no se midió directamente la calidad de vida, la reducción significativa de la IT sugiere un beneficio clínico relevante que se podría reflejar en futuros seguimientos.
CONCLUSIONES
El implante de prótesis EVOQUE es efectivo para reducir la IT y ofrece un perfil de seguridad aceptable en pacientes con IT grave. Es necesaria una cuidadosa selección de los pacientes y una monitorización estrecha, en particular en aquellos con alteraciones previas del ritmo cardiaco o con una función del ventrículo derecho comprometida. Son necesarios más estudios en la vida real para confirmar la seguridad y la eficacia a largo plazo de este dispositivo.
FINANCIACIÓN
No se tuvo financiación para el presente estudio.
CONSIDERACIONES ÉTICAS
El presente trabajo cuenta con la aprobación del Comité de Ética del Hospital Ramón y Cajal. Se obtuvo el consentimiento informado de los pacientes. Se han tenido en cuenta las posibles variables de sexo y género de acuerdo con las directrices SAGER.
DECLARACIÓN SOBRE EL USO DE INTELIGENCIA ARTIFICIAL
No se utilizó inteligencia artificial.
CONTRIBUCIÓN DE LOS AUTORES
A. Sánchez-Recalde ideó y diseñó el trabajo, así como la supervisión de la redacción del texto. A. Pardo Sanz se encargó de la escritura del texto, el manejo de los datos y el diseño de las imágenes. A. González y A. García se encargaron del estudio de los pacientes y la evaluación clínica, así como de la revisión del texto. L.M. Domínguez y J. Alfredo Salinas ayudaron con el diseño de las imágenes y las tablas. L. Salido colaboró en la redacción del texto y su revisión. C. Fernández-Golfín y J.L. Zamorano se encargaron de supervisar el proceso y la versión final del artículo.
CONFLICTO DE INTERESES
Ninguno.
¿QUÉ SE SABE DEL TEMA?
- La insuficiencia tricuspídea (IT) significativa se asocia con una elevada morbimortalidad.
- Las opciones de tratamiento médico o quirúrgico no son óptimas, y la cirugía de IT es de alto riesgo, lo cual ha impulsado el desarrollo de tratamientos percutáneos.
- El sistema de prótesis Edwards EVOQUE ha demostrado, en estudios como TRISCEND y TRISCEND II, una reducción significativa y sostenida de la IT, mejorando la función cardiaca y la calidad de vida de los pacientes.
- Las complicaciones comunicadas con más frecuencia son fallo ventricular derecho, hemorragia grave y necesidad de implante de marcapasos.
- La función hemodinámica de la prótesis EVOQUE ha mostrado ser adecuada, con gradientes transprotésicos bajos y mínimas fugas paravalvulares.
¿QUÉ APORTA DE NUEVO?
- Se presenta la experiencia clínica en nuestro centro con el implante percutáneo de la prótesis EVOQUE en 10 pacientes con IT sintomática al menos grave, que aporta datos de la vida real relevantes sobre su seguridad y eficacia.
- Se demuestra una reducción uniforme de la IT a grado leve o menor en todos los pacientes, con un gradiente transprotésico adecuado y sin fugas paravalvulares significativas.
- Destacan, como complicaciones, el fallo ventricular derecho transitorio, el desarrollo de bloqueo auriculoventricular completo, las hemorragias y la posibilidad de trombosis de prótesis.
- Será necesario ajustar el régimen antitrombótico tras futuros estudios con un mayor seguimiento.
- Destaca la utilidad de la tomografía computarizada para descartar trombosis y otras complicaciones precoces.
- Se enfatiza la necesidad de continuar acumulando datos de la práctica clínica real para confirmar la seguridad y el impacto de la prótesis EVOQUE en diferentes poblaciones y contextos.
BIBLIOGRAFÍA
1. Nishiura N, Kitai T, Okada T, et al. Long-Term Clinical Outcomes in Patients With Severe Tricuspid Regurgitation. J Am Heart Assoc. 2023;12:025751.
2. Messika-Zeitoun D, Chan V, Labinaz M, Burwash IG, Dreyfus J. Intervention for Tricuspid Valve Regurgitation:Timing Is Key, and Earlier Is Better Than Later. Can J Cardiol. 2024;40:182-184.
3. Scotti A, Sturla M, Granada JF, et al. Outcomes of isolated tricuspid valve replacement:a systematic review and meta-analysis of 5,316 patients from 35 studies. EuroIntervention. 2022;18:840-851.
4. Vahanian A, Beyersdorf F, Praz F, et al. 2021 ESC/EACTS Guidelines for the management of valvular heart disease:Developed by the Task Force for the management of valvular heart disease of the European Society of Cardiology (ESC) and the European Association for Cardio-Thoracic Surgery (EACTS). Eur Heart J.2022;43:561-632.
5. Nickenig G, Kowalski M, Hausleiter J, et al. Transcatheter Treatment of Severe Tricuspid Regurgitation With the Edge-to-Edge MitraClip Technique. Circulation. 2017;135:1802-1814.
6. Pardo Sanz A, Gómez JLZ, Tahoces LS, et al. Long-term outcomes of percutaneous tricuspid annuloplasty with Cardioband device. Eur Heart J Cardiovasc Imaging. 2022;23:979-988.
7. Hahn RT, Zamorano JL. The need for a new tricuspid regurgitation grading scheme. Eur Heart J Cardiovasc Imaging.2017;18:1342-1343.
8. Li C-HP, Asmarats L, Santaló-Corcoy M. Initial experience on percutaneous tricuspid valve replacement using the EVOQUE prosthesis. Rev Esp Cardiol. 2025;78:74-75.
9. Hahn RT, Makkar R, Makar M, et al. EVOQUE Tricuspid Valve Replacement System:State-of-the-Art Screening and Intraprocedural Guidance. JACC Cardiovasc Interv. 2024;17:2093-2112.
10. González-Gómez A, Fernández-Golfín C, Hinojar R, et al. The 4A classification for patients with tricuspid regurgitation. Rev Esp Cardiol. 2023;76:845-851.
11. Hahn RT, Lawlor MK, Davidson CJ, et al. Tricuspid Valve Academic Research Consortium Definitions for Tricuspid Regurgitation and Trial Endpoints. Ann Thorac Surg. 2023;116:908-932.
12. Kodali S, Hahn RT, Makkar R, et al. Transfemoral tricuspid valve replacement and one-year outcomes:the TRISCEND study. Eur Heart J. 2023;44:4862-4873.
13. Hahn RT, Makkar R, Thourani VH, et al. Transcatheter Valve Replacement in Severe Tricuspid Regurgitation. N Engl J Med. 2025;392:115-126.
14. Grayburn PA, Kodali SK, Hahn RT, et al. TRISCEND II:Novel Randomized Trial Design for Transcatheter Tricuspid Valve Replacement. Am J Cardiol. 2024;225:171-177.
